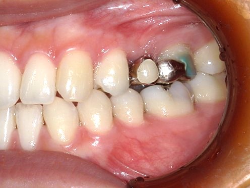
保険適応の銀歯の見た目が気になるので白く治したいと来院されたケースです。
笑ったときに口角があがると側面にある銀歯が光って見えるとご家族の方に言われて気になるようになって白くしたいと思うようになったそうです。

症例紹介
【主訴】左上の銀歯を白く綺麗に治したい
【治療内容】左上ジルコニアセラミッククラウン修復
【治療回数】3回

ジルコニアは人工ダイヤモンドとも呼ばれる高強度の素材です。一昔前のジルコニアは白くても透明感がなく使用できる場所が限定的されることもありましたが、ジルコニアのカラーバリエーションが増えたり、ジルコニアの上にセラミックを盛るジルコニアセラミックなどにすることでほぼ全ての部位で使用できるようになってきてます。
当院では様々な種類の素材をご用意しております。ご希望に添ったものをご提案いたしますのでお気軽にご相談下さい。
医療法人 上野芝はやし歯科
堺市西区の上野芝はやし歯科は土曜日も診療している津久野駅や上野芝駅から通える歯医者です。無料駐車場を5台完備しておりますので、お車でもお気軽にご来院頂けます。
またネット予約にも対応しておりますので、お気軽にご利用下さい。
堺市西区の上野芝はやし歯科では虫歯治療、小児歯科治療などの一般歯科診療から「審美歯科(セラミック治療)」、ホワイトニングを始め、インプラント、バネのない入れ歯(ノンクラスプデンチャー)まで様々な歯科診療に対応しております。
上野芝や津久野で歯医者さんをお探しの方は是非当院へご来院下さい。
皆様のご来院をお待ちしております。
セラミック治療のメリット、デメリット
メリット
デメリット

| 診療時間 | 月 | 火 | 水 | 木 | 金 | 土 | 日 |
|---|---|---|---|---|---|---|---|
| 9:00~13:00 | ● | ● | ● | ● | ● | ★ | / |
| 14:30~18:30 | ● | ● | ● | ● | ● | / | / |
★=9:00-14:00 【休診】土曜午後、日曜、祝日
※各種保険取扱い
〒593-8308 堺市西区神野町2-21-22
パルファン神野1F